DSD en Galapagar
Diseño de Sonrisa en Galapagar
Especialista DSD, estética dental a tu medida
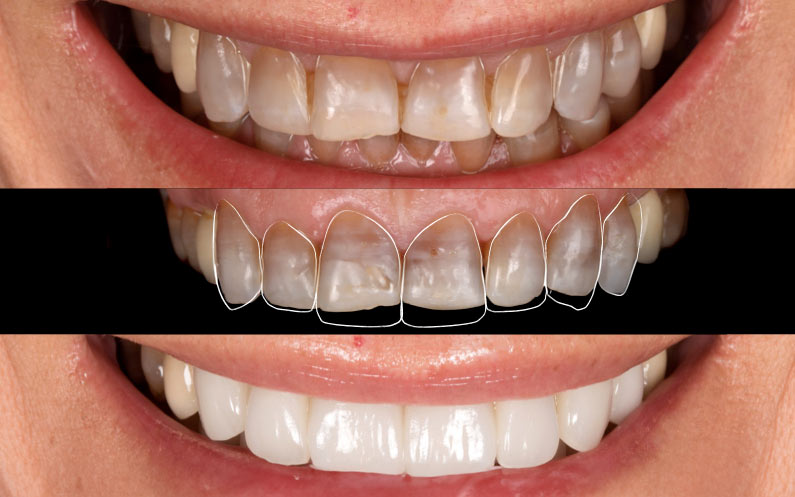
En Narros Bosquet no solo reparamos dientes, creamos sonrisas que emocionan. Gracias al Diseño Digital de Sonrisa (DSD), podemos planificar tu nueva sonrisa con una precisión milimétrica y, lo más importante: podrás verla antes de empezar el tratamiento.
Pasión
Esta técnica revolucionaria permite combinar estética, armonía facial y funcionalidad en un proceso totalmente personalizado. Porque cada sonrisa es única… y la tuya también debería serlo.
¿Qué es el Diseño de Sonrisa?
El Diseño de Sonrisa es un conjunto de técnicas digitales y clínicas que permiten planificar, visualizar y transformar tu sonrisa de forma predecible, estética y natural.
A través de escáneres, fotografías y software 3D, diseñamos una sonrisa que se adapte perfectamente a tus rasgos, edad, personalidad y deseos.
«No es solo estética. Es la sonrisa que te representa.»
Especialista en Carillas Dentales en Galapagar
Diseño, precisión y estética en una sola sonrisa
¿Cómo es el proceso de un diseño de sonrisa con DSD?
1
Estudio estético y fotográfico
2
Escaneado digital
3
Diseño Virtual

4
Mock-up estético

5
Tratamiento definitivo
¿Qué problemas resuelve el Diseño de Sonrisa?
- Dientes desalineados o asimétricos
- Sonrisa envejecida o con desgaste
- Dientes con manchas, roturas o tinciones
- Encías visibles o sonrisas gingivales
- Falta de armonía entre labios, encías y dientes
¿Qué ventajas tiene hacer tu diseño de sonrisa en Narros Bosquet?
- Planificación 100% personalizada
- Puedes ver y probar tu sonrisa antes del tratamiento
- Tecnología de última generación (DSD, escáner, mock-up)
- Carillas mínimamente invasivas (sin tallado)
- Equipo especializado en estética facial y dental
Porque una sonrisa bien diseñada no solo cambia tu boca, cambia tu manera de estar en el mundo.
Preguntas frecuentes sobre DSD
¿Dónde puedo hacerme un diseño digital de sonrisa cerca de mí?
Si vives en la Sierra Noroeste de Madrid, en localidades como Galapagar, Torrelodones, Villalba, Las Rozas, Colmenarejo o El Escorial, puedes acceder a un tratamiento de Diseño Digital de Sonrisa con tecnología avanzada sin necesidad de desplazarte a Madrid capital.
En Narros Bosquet, clínica ubicada en Galapagar y con fácil acceso desde la M-505 y M-510, llevamos años aplicando esta técnica con excelentes resultados. Nuestro equipo está especializado en estética dental mínimamente invasiva, con opciones como carillas sin tallado, blanqueamientos personalizados y planificación facial digital.
Si buscas resultados naturales, previsibles y un tratamiento estético de calidad cerca de casa, estás en el lugar adecuado.
¿Es para ti el Diseño de Sonrisa?
Sí, si buscas una transformación estética natural, predecible y segura. Ideal para personas que desean mejorar su sonrisa con total control del resultado.
También está indicado si:
- Has tenido malas experiencias previas
- Tienes un evento importante próximamente (boda, oposición, presentación)
- Sientes que tu sonrisa no refleja tu personalidad
¿Qué diferencia hay entre un diseño de sonrisa y ponerse carillas directamente?
El diseño digital de sonrisa es un protocolo de planificación avanzada. No es un tratamiento en sí, sino la fase previa que te permite ver el resultado antes de comenzar. Las carillas son uno de los posibles tratamientos dentro de un diseño, pero siempre se planifican con esta tecnología para lograr un resultado natural y personalizado.
¿El Diseño de Sonrisa es reversible o afecta a mis dientes?
El proceso de diseño no es invasivo. Usamos mock-ups (pruebas estéticas provisionales) sin tallar los dientes. Solo cuando eliges iniciar el tratamiento definitivo se valora si es necesario tocar el esmalte. En Narros Bosquet priorizamos siempre técnicas mínimamente invasivas, como las carillas sin tallado.
¿Cuánto cuesta un diseño digital de sonrisa?
El coste depende de los tratamientos incluidos (carillas, blanqueamiento, ortodoncia, contorneado…). Lo que sí garantizamos en Narros Bosquet es una planificación 100% personalizada y presupuestos sin sorpresas desde el primer día. En la primera cita realizamos un estudio y te damos una hoja de ruta clara.
¿Cómo sé si el diseño de sonrisa me quedará natural?
Esa es la magia del DSD. Gracias al software 3D y las pruebas en boca (mock-up, solo cuando son carillas de cerámica), podrás ver y probar tu nueva sonrisa antes de empezar. Además, trabajamos con tus proporciones faciales, tu edad y tu personalidad para que el resultado encaje contigo de forma natural.
¿Me cambiará la cara si me hago un diseño de sonrisa?
En muchos casos, sí —y para mejor. Un diseño bien planificado no solo embellece los dientes, sino que puede dar un efecto de lifting facial natural. Mejora la proporción de labios, el soporte facial y aporta una expresión más joven y relajada.
